Ricostruzione estetico funzionale
Caso Clinico
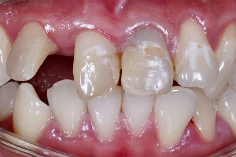
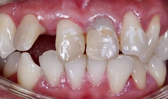
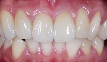
Esempio ricostruzione settore anteriore superiore in zirconia stratificata.
La ricostruzione dei denti anteriori superiori con corone in zirconia stratificata è una procedura che offre risultati straordinari, un'armoniosa combinazione tra estetica e funzionalità. In questo caso clinico, esamineremo un esempio concreto di prima e dopo, mettendo in luce i notevoli risultati ottenuti grazie alla zirconia stratificata.
Caso di Maria: Un sorriso naturale con la zirconia stratificata
Maria, una paziente di 45 anni, desiderava migliorare l'estetica dei suoi denti anteriori, che avevano subito usura. Grazie all'uso della zirconia stratificata, Maria ha ottenuto un risultato estetico eccellente. La combinazione di zirconia e ceramica ha garantito una resistenza ottimale e un aspetto naturale, senza compromettere la funzionalità. Dopo l'intervento, Maria ha riferito di sentirsi più sicura del suo sorriso, apprezzando la naturalezza e la durabilità della soluzione.
Per maggiori informazioni, visita Studio Dentistico Vivaldini.


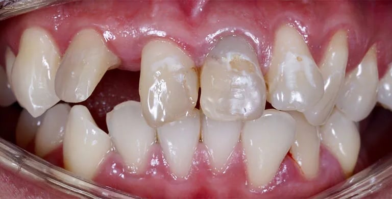
Il Caso Iniziale
Il paziente è giunto alla clinica odontoiatrica con una serie di problemi estetici e funzionali nei denti anteriori superiori. I suoi denti presentavano lesioni cariose, scheggiature e discromie evidenti, alcuni mancavano, causando non solo imbarazzo a livello estetico ma anche disagi nella masticazione e nella fonetica.
Il Piano di Trattamento
Dopo una rigorosa valutazione del caso, il team odontoiatrico ha proposto una soluzione su misura per il paziente. Il piano di trattamento ha incluso le seguenti fasi:
Preparazione Dentale: È stata rimossa la parte danneggiata dei denti, garantendo spazio sufficiente per le nuove corone in zirconia stratificata. Questo processo è stato condotto in modo indolore grazie all'anestesia locale.
Rilevamento delle Impronte: Sono state effettuate impronte dettagliate dei denti preparati per garantire un adattamento preciso delle corone.
Corone Temporanee: Durante l'attesa per la fabbricazione delle corone definitive, sono state applicate temporanee per proteggere i denti preparati e garantire la funzionalità e l'estetica.


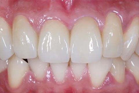
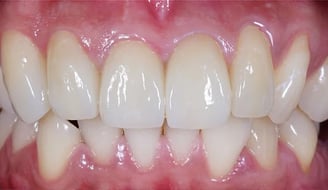
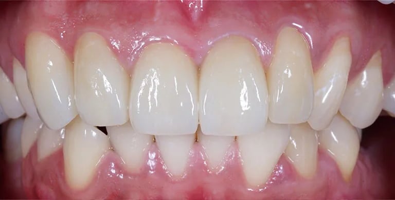
Il Risultato Finale
Dopo la cementazione delle corone in zirconia stratificata, il sorriso del paziente è stato completamente trasformato. Le correzioni estetiche e funzionali hanno portato a questo risultato:


Miglioramento Estetico:
Aspetto maggiormente luminoso
Aspetto naturale dei denti
Assenza di discromie o scheggiature
Miglioramento Funzionale:
Miglioramento della funzione masticatoria
Miglioramento della fonetica
Tranquillità nel sorridere.
Pregi estetico-funzionali
La Zirconia Stratificata
Questo è un fulgido esempio di come la zirconia stratificata possa trasformare il sorriso di un paziente in maniera soddisfacente. La combinazione impeccabile tra la sua eccezionale resistenza e durezza, unita alla sua sorprendente somiglianza ai denti naturali, ha portato a un risultato estetico e funzionale che ha soddisfatto il paziente!
Frequently asked questions
1. Cos'è la zirconia stratificata?
La zirconia stratificata è un materiale utilizzato per corone dentali estetiche, composto da uno strato di zirconia rivestito con ceramica per un aspetto più naturale.
2. Quali sono i vantaggi della zirconia stratificata?
Offre un'estetica superiore, alta resistenza e un'ottima biocompatibilità con il tessuto gengivale.
3. La zirconia stratificata è adatta per tutti i pazienti?
Sì, è indicata per chi cerca un risultato estetico ottimale, soprattutto nei denti anteriori.
Per ulteriori dettagli, visita Studio Dentistico Vivaldini.
Giordano R, McLaren EA. Ceramics Overview: classification by microstructure and processing methods. Compend Contin Educ Dent. 2010;31:682-688.
Guazzato M, Proos K, Quach L, et al. Strength, reliability and mode of fracture of bilayered porcelain/zirconia (Y-TZP) dental ceramics. Biomaterials. 2004;25:5045-5052.
Vichi A, Louca C, Corciolani G, et al. Color related to ceramic and zirconia restorations: a review. Dent Mater. 2011;27:97-108.
Komine F, Blatz MB, Matsumura H. Current status of zirconia-based fixed restorations. J Oral Sci. 2010;52:531-539.
van Dijken JW, Sjöström S. Development of gingivitis around aged restorations of resin-modified glass ionomer cement, polyacid-modified resin composite (compomer) and resin composite. Clin Oral Investig. 1998;2:180-183.
Magne P, Nielsen B. Interactions between impression materials and immediate dentin sealing. J Prosthet Dent. 2009;102:298-305.
Raptis NV, Michalakis KX, Hirayama H. Optical behavior of current ceramic systems. Int J Periodontics Restorative Dent. 2006;26:31-41.
Heffernan MJ, Aquilino SA, Diaz-Arnold AM, et al. Relative translucency of six all-ceramic systems. Part 1: core materials. J Prosthet Dent. 2002;88:4-9.
Luo XP, Zhang L. Effect of veneering techniques on color and translucency of Y-TZP. J Prosthodont. 2010;19:465-470.
McLaren EA, Giordano RA II. Zirconia-based ceramics: material properties, esthetics, and layering techniques of a new veneering porcelain, VM9. Quintessence Dent Technol. 2005;28:99-111.