Impianti NO, protesi mobile SI
La protesi mobile come alternativa agli impianti?
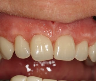
Hai perso tutti i denti e stai cercando una soluzione efficace e confortevole? La protesi totale potrebbe essere la risposta che cerchi. Ma cosa succede se non puoi ricorrere agli impianti dentali? In questo articolo, ti spiegheremo come il dott. Pierluca Vivaldini ha aiutato una paziente a ritrovare un sorriso smagliante e a masticare con piacere grazie a una protesi totale superiore all'avanguardia.
Il caso clinico
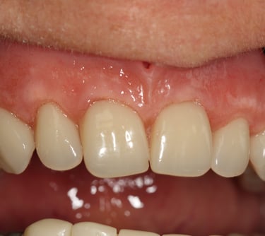
Nel nostro caso, la paziente aveva perso tutti i denti nel mascellare superiore e desiderava tornare a mangiare e sorridere con sicurezza. Lo stato di salute di una persona non sempre permette di procedere alla riabilitazione mediante trattamenti implantari. Per questo, abbiamo deciso di riabilitarla con una protesi totale superiore, comunemente conosciuta come dentiera.
Il caso di Adelaide
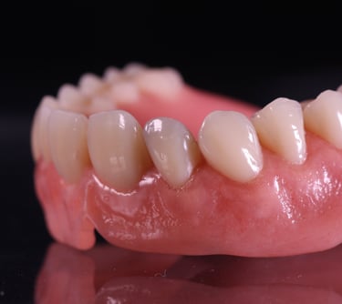
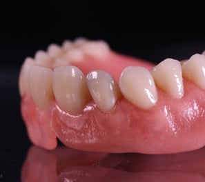
La protesi mobile
Niente di più errato pensare che una protesi mobile sia sinonimo di qualcosa che balla in bocca, dolorante, fastidioso. I protocolli per costruirla hanno più di 70 anni (quindi collaudati), molti maestri hanno trasmesso la loro conoscenza ai propri discepoli, in più le tecnologie, le strumentazioni per eseguirla, i materiali che la compongono sono notevolmente migliorati.
Quando l'edentulia è completa e gli impianti dentali non sono un'opzione, la protesi totale superiore rappresenta una soluzione protesica collaudata e affidabile. Grazie agli avanzamenti tecnologici e ai materiali innovativi, le protesi moderne offrono un comfort e una funzionalità senza precedenti.
Questo lavoro è sato eseguito in collaborazione con Adriano Ranieri
Come realizziamo una protesi totale superiore su misura?
La realizzazione di una protesi totale superiore richiede una pianificazione accurata e una grande attenzione ai dettagli. Il dott. Pierluca Vivaldini esperto in protesi dentaria:
Analizza attentamente la tua bocca: Attraverso una visita accurata, valuta le tue esigenze e le caratteristiche anatomiche della tua bocca.
Sceglie i materiali migliori: Utilizza materiali biocompatibili e di alta qualità per garantire un comfort duraturo e un aspetto naturale.
Progetta un sorriso personalizzato: Crea un sorriso che si adatta perfettamente al tuo viso e alle tue aspettative estetiche.
Realizza una protesi precisa: Grazie a tecniche avanzate di progettazione e produzione, realizza in collaborazione con maestri odontotecnici una protesi che aderisce perfettamente alle tue gengive.




Vantaggi della protesi mobile superiore
Comfort: Le protesi moderne sono leggere e confortevoli, grazie ai materiali utilizzati e ai design ergonomici.
Estetica: Un sorriso naturale e smagliante che ti restituirà fiducia in te stesso.
Funzionalità: Masticerai e parlerai in modo chiaro e naturale, proprio come con i tuoi denti naturali.
Durata: Con una corretta igiene orale e controlli regolari, la tua protesi potrà durare molti anni.


Per motivi di privacy non è stato usato il vero volto della paziente e il nome è stato cambiato.
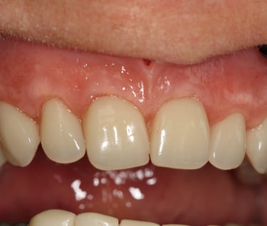
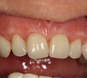
Estetica e Durata
Uno degli aspetti più apprezzati delle protesi mobili moderne è l'aspetto estetico. Ogni protesi è personalizzata per adattarsi al volto del paziente, creando un sorriso naturale e armonioso. Questa personalizzazione non solo migliora l'estetica ma contribuisce anche a rafforzare la fiducia in sé stessi.
Con una corretta igiene orale e controlli regolari dal dentista, le protesi totali superiori possono durare molti anni. È fondamentale seguire le indicazioni del dentista per la cura quotidiana della protesi, garantendo così una lunga durata e mantenendo inalterati il comfort e la funzionalità.
La protesi totale superiore non è più la dentiera scomoda di una volta. Grazie alle tecnologie moderne, è possibile ottenere un risultato estetico e funzionale che ti permetterà di ritrovare la qualità della vita che desideri. La realizzazione di una protesi richiede competenze avanzate per interpretare i desideri del paziente e tradurli in un sorriso naturale e funzionale. Grazie ai progressi tecnologici e all'uso di materiali di alta qualità, le protesi moderne offrono comfort, estetica e funzionalità senza precedenti. Affidandosi a professionisti esperti come il Dott. Vivaldini, è possibile ritrovare un sorriso naturale e migliorare significativamente la qualità della vita. Alla visita di controllo, la paziente è stata entusiasta di raccontare quanto fosse felice di gustare degli ottimi spaghetti alla carbonara preparati dal marito, grazie alla nuova protesi.
