La protesi Mobile: Un Cambiamento che Valorizza il Tuo Sorriso
Lo Studio Dentistico Vivaldini sottolinea con competenza l’efficacia delle protesi dentali mobili nel restituire funzionalità ed estetica al sorriso. Ma oltre agli aspetti pratici, questa scelta rappresenta un’opportunità per abbracciare un nuovo capitolo della vita con serenità e consapevolezza. Scopriamo insieme come questo percorso possa diventare un’esperienza di crescita e rinascita.
ODONTOIATRIA ESTETICAPROTESI DENTARIA
3/8/20253 min read


1. Ritrovare Sicurezza: Il Valore di un Sorriso Armonioso
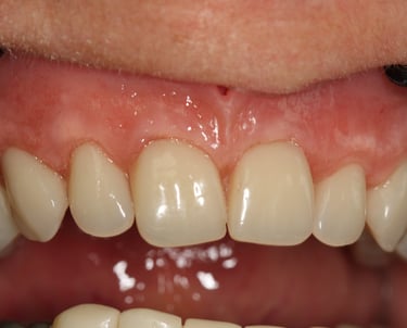
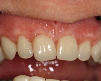
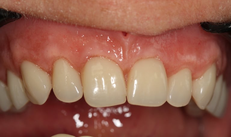
Un sorriso completo non è solo una questione estetica: è espressione di vitalità e fiducia in sé stessi. La perdita dei denti può influire sulla percezione della propria immagine, ma le protesi mobili offrono una soluzione elegante e discreta.
Estetica Naturale
Grazie a design moderni e personalizzati, le protesi restituiscono un aspetto equilibrato, valorizzando i lineamenti del viso.
Un Investimento nel benessere
Grazie a design moderni e personalizzati, le protesi restituiscono un aspetto equilibrato, valorizzando i lineamenti del viso.
2. Adattarsi con Grazia: Tempo, Pazienza e Risultati Duraturi
Ogni nuovo inizio richiede un periodo di assestamento. Le prime settimane con una protesi mobile possono presentare piccole sfide, come la familiarizzazione con una sensazione diversa in bocca.
Il potere della Costanza
Ogni nuovo inizio richiede un periodo di assestamento. Le prime settimane con una protesi mobile possono presentare piccole sfide, come la familiarizzazione con una sensazione diversa in bocca.
Un percorso di Pazienza
Affidarsi a professionisti esperti e seguire i loro consigli pratici accelera l’adattamento, trasformando l’esperienza in un processo gestibile e privo di stress.
Ricordate: ogni fase di transizione, se affrontata con calma, porta a risultati che durano nel tempo.
3. Il Supporto che Conta: Professionisti e Affetti al Tuo Fianco
Non siete soli in questo percorso. Il ruolo del dentista e delle persone care è fondamentale per vivere la transizione con tranquillità.
Guidati da esperti → Un team competente non solo risolve aspetti tecnici, ma ascolta le vostre esigenze, offrendo rassicurazioni e soluzioni su misura.
La forza delle relazioni → Condividere dubbi o successi con familiari o amici rafforza il legame emotivo e normalizza l’esperienza, rendendola meno isolante.
Anche confrontarsi con chi ha già intrapreso questo percorso può infondere fiducia e fornire consigli preziosi.
4. Un Viaggio di Rinascita: Saggezza, Esperienza e Nuovi Inizi
La maturità porta con sé la capacità di affrontare i cambiamenti con pragmatismo e saggezza. L’adozione di una protesi mobile può essere vista come un simbolo di questa resilienza.
Scelte consapevoli → Informarsi, valutare i pro e i contro, e optare per la soluzione più adatta riflette un approccio lungimirante e rispettoso verso sé stessi.
Reinventarsi con eleganza → Accettare la protesi non è un passo indietro, ma una scelta intelligente per preservare la qualità della vita e continuare a godere delle piccole gioie quotidiane.
Questo percorso ricorda che ogni età ha le sue sfide, ma anche le sue opportunità per scrivere pagine nuove della propria storia.

Conclusione: Oltre il Sorriso,
Optare per una protesi mobile non è semplicemente un atto pratico: è una decisione che parla di cura, rispetto per sé stessi e desiderio di vivere appieno.
Questo percorso, affrontato con la maturità di chi sa riconoscere ciò che conta davvero, diventa un’occasione per celebrare la propria capacità di adattamento e la volontà di investire nel benessere. Perché un sorriso completo non è solo un dono per gli altri, ma un regalo che facciamo a noi stessi.
Lo Studio Dentistico Vivaldini, con professionalità e sensibilità, è al vostro fianco in ogni fase. Perché ogni sorriso racconta una storia: la vostra.
Studio Dentistico
dott. Pierluca Vivaldini
via Brescia 28
25020 GAMBARA - Brescia -
Contatti
030 99 56 178
info@vivaldini.it
