La storia di Miriam e il tuo sorriso: un percorso di fiducia e cura
Un viaggio di cura, dove la tecnologia incontra l’ascolto. "Prima pensavo che un bel sorriso fosse solo questione di fortuna. Poi ho incontrato chi mi ha mostrato che può essere una scelta." – Miriam
ODONTOIATRIA ESTETICA
Pierluca Vivaldini
3/22/20254 min read


Introduzione:
Le faccette dentali rappresentano una soluzione innovativa nell'odontoiatria estetica, offrendo la possibilità di migliorare significativamente l'aspetto del sorriso. Il caso clinico presentato riguarda Miriam, una giovane paziente che desiderava trasformare il proprio sorriso a causa di specifiche problematiche dentali. Questo caso è particolarmente interessante poiché combina l'utilizzo di faccette in porcellana feldspatica con un trattamento ortodontico preliminare, evidenziando l'efficacia di un approccio integrato per ottenere risultati estetici ottimali.
Presentazione del Caso:
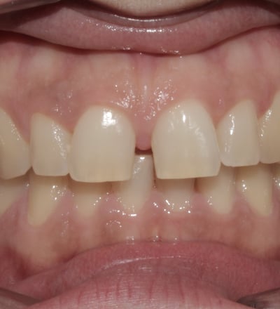
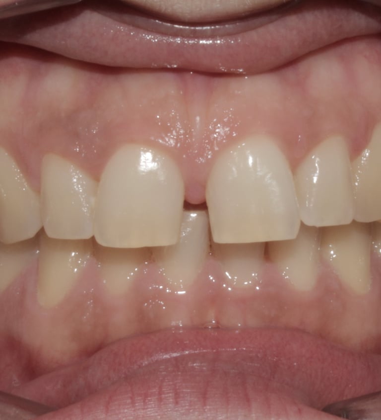
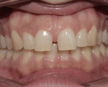
Miriam, 25 anni, si è rivolta al nostro studio lamentando insoddisfazione per l'estetica del suo sorriso. I principali problemi riscontrati includevano:
Diastemi: presenza di spazi tra i denti anteriori superiori.
Discromia: colorazione grigiastra dei denti.
Microdonzia: denti di dimensioni ridotte rispetto alla norma.
Durante la valutazione iniziale, Miriam ha espresso il desiderio di avere denti bianchi, uniformi e ben allineati. Dopo un'analisi approfondita e la discussione delle possibili opzioni terapeutiche, si è deciso di intraprendere un percorso che prevedeva:
Trattamento ortodontico fisso: per correggere l'allineamento dentale e preparare adeguatamente l'arcata superiore all'applicazione delle faccette.
Applicazione di faccette in porcellana feldspatica: per migliorare forma, colore e dimensione dei denti, garantendo un risultato estetico naturale e duraturo.
La preparazione dei denti per le faccette è stata minimamente invasiva, rimuovendo una quantità esigua di smalto. Successivamente, sono state prese impronte di precisione per la realizzazione personalizzata delle faccette. Una volta pronte, le faccette sono state cementate con materiali adesivi di alta qualità, assicurando stabilità e resistenza nel tempo.
PRIMA
Analisi e Discussione:
Questo caso evidenzia l'importanza di un approccio multidisciplinare nell'odontoiatria estetica. La combinazione di ortodonzia e protesi estetica ha permesso di ottenere un risultato armonioso e funzionale. Le faccette in porcellana feldspatica, grazie alle loro proprietà ottiche, hanno conferito ai denti un aspetto naturale, soddisfacendo le aspettative estetiche della paziente.
In letteratura, l'utilizzo delle faccette è ampiamente documentato per la correzione di discromie, diastemi e anomalie di forma dentale. Tuttavia, la pianificazione accurata e la selezione appropriata dei materiali sono fondamentali per il successo a lungo termine del trattamento.
Le alternative terapeutiche avrebbero potuto includere:
Sbiancamento dentale: utile per la discromia, ma non risolutivo per forma e spaziatura.
Restauri diretti in composito: meno costosi, ma con durabilità e estetica inferiori rispetto alle faccette in porcellana.
Non sono emerse particolari implicazioni etiche in questo caso, poiché il trattamento proposto era conservativo e rispettoso dei tessuti dentali.
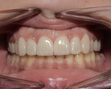
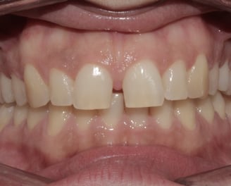
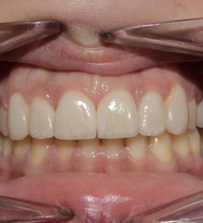
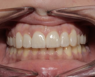
DOPO
Risultati
Il trattamento ha portato a una trasformazione significativa:
Estetica: Denti bianchi, uniformi e allineati, eliminando i diastemi e migliorando la forma dentale.
Psicologica: Aumento dell'autostima e della fiducia in sé stessa, con un impatto positivo sulla qualità della vita.
Conclusioni
Questo caso evidenzia l'efficacia delle faccette dentali in porcellana feldspatica nel migliorare l'estetica dentale e il benessere generale del paziente. La combinazione di un approccio personalizzato, diagnostica avanzata e tecniche conservative ha permesso di raggiungere risultati ottimali. È fondamentale considerare le esigenze e le aspettative del paziente, pianificando un percorso terapeutico su misura che integri diverse discipline odontoiatriche per ottenere un sorriso armonioso e naturale.




Mi chiamo Miriam e, per anni, ho evitato di sorridere nelle foto. I miei denti presentavano piccoli difetti che per me erano enormi: spazi tra i denti anteriori, una colorazione irregolare e una forma che non sentivo mia. Mi sono sempre chiesta se avrei mai potuto avere un sorriso che mi facesse sentire sicura di me.
All’inizio avevo molte paure: il trattamento sarebbe stato doloroso? Il risultato sarebbe stato naturale? Ma quando ho conosciuto lo Studio Dentistico Vivaldini, ho capito che ero nel posto giusto.
Lo Studio Vivaldini: trasforma sorrisi con passione e precisione, curando ogni dettaglio come un artista davanti alla sua tela. Ho percepito questa attenzione fin dal primo incontro: nulla era lasciato al caso, ogni passaggio era studiato per garantire un risultato armonioso e su misura per me.
Dopo una prima consulenza, abbiamo stabilito insieme il piano di trattamento: prima un leggero allineamento ortodontico, poi l’applicazione di faccette dentali in porcellana feldspatica. Il team è stato incredibile nel rassicurarmi, spiegandomi ogni fase del percorso.
Il momento più emozionante? Quando mi hanno mostrato il mio nuovo sorriso con il mock-up digitale. Per la prima volta, mi sono vista come avevo sempre desiderato. E quando le faccette sono state finalmente applicate, l’emozione è stata indescrivibile.
Questo trattamento non ha cambiato solo il mio sorriso, ma anche la mia sicurezza in me stessa. Ora sorrido senza esitazione, senza nascondere i denti con la mano. Mi sento più sicura nelle relazioni sociali e persino nelle piccole cose, come parlare in pubblico o fare una foto spontanea.
Ciò che ho apprezzato di più dello Studio Vivaldini è stato l’approccio umano e la ricerca della perfezione: il mio sorriso è naturale, armonioso e in perfetta sintonia con il mio viso.
Se state pensando di migliorare il vostro sorriso, vi consiglio di affidarvi a chi, come il team dello Studio Vivaldini, non si limita a "curare i denti", ma crea sorrisi su misura con dedizione e competenza. Il mio unico rimpianto? Non averlo fatto prima.
😊 Grazie di cuore per avermi restituito il sorriso che sognavo!
"Ogni giorno passato a nascondere il sorriso è un giorno perso"
🌿 Il tuo nuovo sorriso inizia da un dialogo.
INIZIA IL TUO PERCORSO QUI
Studio Dentistico Vivaldini: dove l’arte del sorriso incontra il cuore della cura.
💛 Da oltre 20 anni, al tuo fianco con professionalità e rispetto.
Studio Dentistico
dott. Pierluca Vivaldini
via Brescia 28
25020 GAMBARA - Brescia -
Contatti
030 99 56 178
info@vivaldini.it
