ORTODONZIA FISSA
Introduzione all'ortodonzia fissa
L’ortodonzia fissa rappresenta una delle soluzioni più efficaci e durature per correggere malocclusioni e allineare i denti in modo armonioso. Questo tipo di trattamento ortodontico utilizza apparecchi fissi, come i tradizionali brackets metallici o le più moderne opzioni in ceramica, per esercitare una pressione costante sui denti e guidarli nella posizione desiderata. Grazie ai progressi tecnologici, l’ortodonzia fissa è diventata sempre più confortevole e discreta, offrendo risultati straordinari sia per i pazienti giovani che per gli adulti.


Benefici dell'Ortodonzia Fissa
L'ortodonzia fissa non solo migliora l'estetica del sorriso, ma offre anche numerosi vantaggi funzionali:
Allineamento Dentale: Garantisce un corretto allineamento dei denti, migliorando la masticazione e la fonazione.
Salute Gengivale: Aiuta a prevenire problemi gengivali, poiché i denti allineati sono più facili da pulire.
Durata: I risultati ottenuti sono duraturi, mantenendo i denti nella posizione corretta anche dopo la rimozione degli apparecchi.
Prevenzione: La correzione tempestiva delle malocclusioni può prevenire ulteriori complicazioni, come usura dentale e problemi articolari.
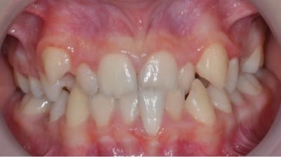
Il Morso Incrociato
Il morso incrociato è una malocclusione dentale caratterizzata da un disallineamento delle arcate dentali, in cui i denti dell'arcata superiore si posizionano dietro quelli dell'arcata inferiore. Questo problema può portare a diverse conseguenze estetiche e funzionali, come recessione gengivale, usura dei denti e difficoltà masticatorie.
Le cause del morso incrociato possono essere genetiche, strutturali o funzionali, e includono fattori come la respirazione orale, la spinta linguale e le abitudini di suzione del pollice nei bambini. La diagnosi precoce è essenziale per un trattamento efficace, che può includere apparecchi ortodontici fissi o mobili, espansori palatali e, in casi più gravi, interventi chirurgici.
Il trattamento varia a seconda dell'età del paziente e della gravità del problema, ma l'obiettivo principale è ripristinare una corretta occlusione e migliorare la salute orale complessiva del paziente.
Trattamento Ortodontico: La procedura
Valutazione Iniziale
Il primo passo in un trattamento di ortodonzia fissa è una valutazione dettagliata da parte di un ortodontista esperto. Durante questa fase, vengono eseguiti esami clinici, radiografie e modelli dentali per pianificare il trattamento personalizzato.


Applicazione degli Apparecchi
Gli apparecchi ortodontici vengono fissati sui denti con un adesivo speciale. I brackets metallici o in ceramica sono collegati da un arco metallico che applica la forza necessaria per spostare i denti nella posizione desiderata. Questa fase richiede precisione e attenzione per garantire il comfort del paziente e l'efficacia del trattamento.
Durante il trattamento, sono necessarie visite regolari dal dentista per monitorare i progressi e apportare eventuali regolazioni. Queste visite assicurano che i denti si stiano muovendo correttamente e che il paziente non stia sperimentando problemi.
Monitoraggio e Regolazioni




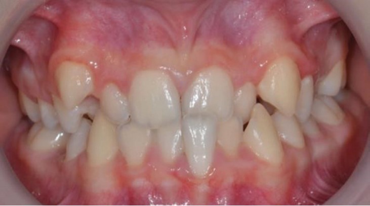
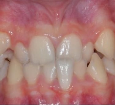
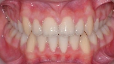
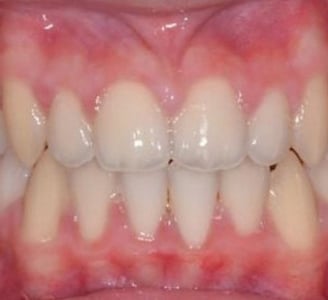
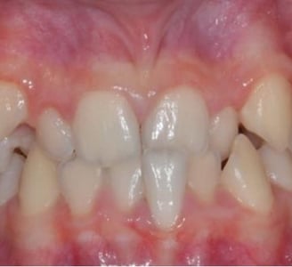
Caso Clinico
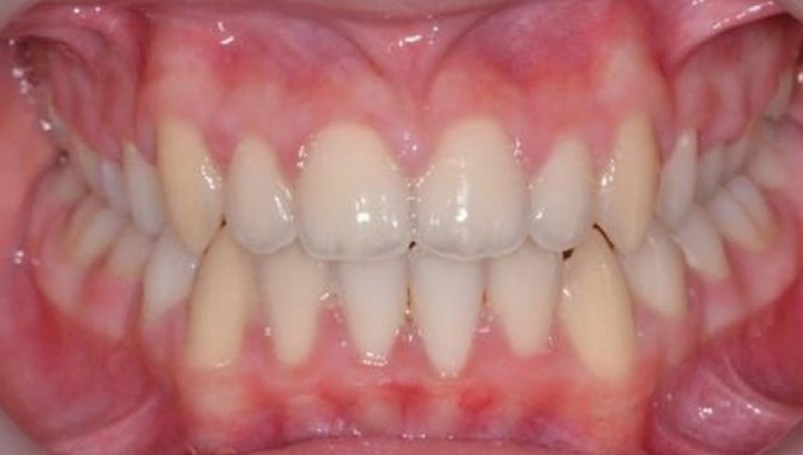
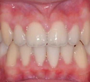
Paziente, un ragazzo di 12 anni con una recensione gengivale sull'incisivo centrale mandibolare sinistro causata da una malocclusione dell'incisivo antagonista che spingeva il dente in posizione anteriore. È stato fatto un trattamento ortodontico per prevenire ulteriori danni ai tessuti gengivali e per allineare i denti in arcata. Inizialmente, è stato fatto un allineamento dell'arcata superiore per correggere il morso incrociato anteriore. Al termine dei lavori è stato ottenuto un allineamento dei denti e una riduzione della perdita di gengiva.






Risultato
Allineamento Dentale: Al termine del trattamento, è stato ottenuto un allineamento perfetto dei denti.
Salute Gengivale: Riduzione significativa della perdita di gengiva, migliorando la salute orale complessiva del paziente.
Questo caso dimostra come l'ortodonzia fissa possa non solo migliorare l'estetica del sorriso ma anche preservare la salute dei tessuti gengivali e parodontali. La correzione tempestiva di problemi ortodontici può prevenire danni futuri e migliorare la salute orale complessiva del paziente. Consultare sempre un ortodontista esperto è fondamentale per valutare le esigenze ortodontiche individuali e pianificare il trattamento più adatto.
