Quando il sorriso vacilla
Storia vera: Il sorriso di Umberto, e la voglia di sentirsi di nuovo… sé stesso. Quando il sorriso vacilla: provvisori estetici per chi ha una lunga storia di splintaggio dentale.
7/10/20253 min read


Denti che si muovono: il sorriso ritrovato di Umberto
C’è qualcosa di profondamente silenzioso nella paura di perdere i denti.
Non fa rumore come un dolore acuto, non si vede come una ferita, ma cresce, giorno dopo giorno, come una crepa nel muro di casa.
Umberto ha 63 anni.
Ha mani grandi, da artigiano, e un sorriso che – a sentir lui – “ha smesso di parlare da tempo”.
Da anni convive con la parodontite. Ha perso gengiva, ha guadagnato in ansie.
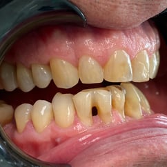
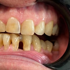
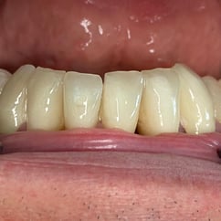
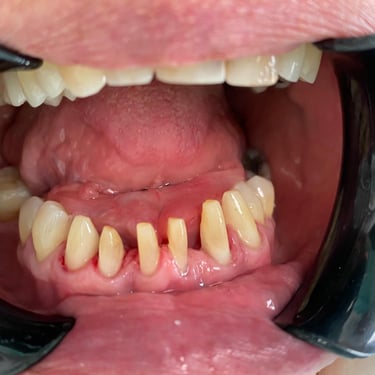
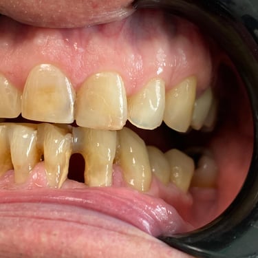
Per tenere a bada la mobilità dei denti anteriori inferiori, gli avevano messo uno splintaggio fisso, solido ma ormai ingiallito, ruvido, stanco.
“È come se avessi in bocca un pezzo della mia vecchiaia” ci ha detto, con la sincerità che solo certe età permettono.
I provvisori prelimatura
Quando è arrivato da noi, Umberto non cercava soluzioni miracolose.
Aveva già fatto i conti con la parodontite, con la perdita di osso, con il disagio di avere uno splintaggio vecchio e antiestetico che teneva insieme i denti ma non il suo sorriso.
Ci ha detto:
“Non mi interessa avere denti perfetti, ma almeno qualcosa che non mi faccia vergognare”.
E così abbiamo parlato con onestà.
Nessun intervento complesso. Nessuna promessa impossibile.
Solo una proposta chiara:
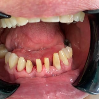
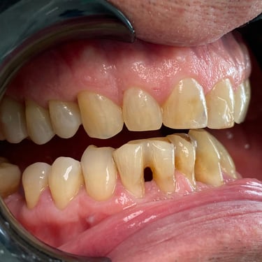
Rimuovere lo splintaggio danneggiato
Eseguire una prelimatura minima dei denti anteriori inferiori
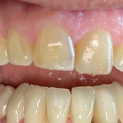
Applicare dei provvisori estetici ben adattati
Un gesto semplice, realizzabile in poco tempo, ma che per Umberto significava molto:
guardarsi allo specchio senza distogliere lo sguardo.



Perchè proprio i provvisori prelimatura?
Per chi – come Umberto – porta sulle gengive la traccia di anni di parodontite, le soluzioni definitive non sono mai immediate.
C'è bisogno di rispetto. Di tempo. Di ascoltare i tessuti, di non forzare nulla.
Ecco perché i provvisori diventano più che un ripiego:
sono un respiro, un modo per rimettere ordine nel caos, per ritrovare la dignità del volto, senza correre.


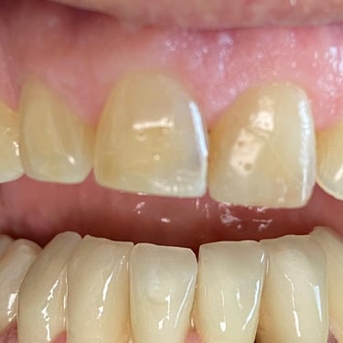
Il sorriso che torna a somigliare a te
Quando Umberto si è rivisto allo specchio, con quei denti dritti, sobri, armonici, ha sorriso.
Davvero.
"Mi pare di rivedere mio padre, ma con meno rimpianti negli occhi" ha detto.
Ci sono momenti, nello studio, in cui il tempo si ferma.
Quel giorno, il tempo si è fermato sul volto di Umberto.
E nel suo sorriso, finalmente ritrovato, c'era la tenerezza della cura e la forza della rinascita.



Ti rivedi in Umberto?
Se anche tu hai denti mobili, un vecchio splintaggio che non ti rappresenta più, o semplicemente hai smesso di sorridere davvero,
forse è arrivato il momento di ascoltarti.
I provvisori su denti anteriori inferiori, leggeri ma stabili, possono essere il primo passo.
Nessuna promessa, solo attenzione.
E la possibilità di rivederti per come ti senti dentro.
Quando è arrivato da noi, Umberto non cercava soluzioni miracolose.
Aveva già fatto i conti con la parodontite, con la perdita di osso, con il disagio di avere uno splintaggio vecchio e antiestetico che teneva insieme i denti ma non il suo sorriso.
Ci ha detto:
“Non mi interessa avere denti perfetti, ma almeno qualcosa che non mi faccia vergognare”.
E così abbiamo parlato con onestà.
Nessun intervento complesso. Nessuna promessa impossibile.
Solo una proposta chiara:
Rimozione dello splintaggio danneggiato
Prelimatura minima dei denti anteriori inferiori
Applicazione di provvisori estetici, funzionali e ben integrati
Un gesto semplice, realizzabile in poco tempo, ma che per Umberto significava molto:
guardarsi allo specchio senza distogliere lo sguardo.
➡️ Naturalmente, questi provvisori non sono la soluzione definitiva.
Servono a stabilizzare la situazione, migliorare subito estetica e comfort, e dare il tempo necessario per pianificare con attenzione il passo successivo.
📋 A questi seguirà un piano terapeutico personalizzato, calibrato sulle condizioni parodontali residue, che potrà includere soluzioni conservative, riabilitative o protesiche più durature.
Perché ogni paziente ha la sua storia. E ogni sorriso ha bisogno di un progetto serio, fatto su misura.


Vuoi tornare a sorridere con serenità?
📞 Prenota ora una visita conoscitiva.
Il primo passo è piccolo. Ma può cambiare tutto.
Perché un sorriso che torna a somigliarti… non ha età
Studio Dentistico
dott. Pierluca Vivaldini
via Brescia 28
25020 GAMBARA - Brescia -
Contatti
030 99 56 178
info@vivaldini.it