Sostituzione Corona su Incisivo Centrale: Trattamento Endodontico e Soluzione Estetica
DescrizioScopri quando è necessaria la sostituzione di una corona su un incisivo centrale, le complicazioni del trattamento endodontico e i materiali migliori per una riabilitazione estetica e duratura.ne del post del blog.
ENDODONZIAODONTOIATRIA ESTETICA
3/8/20253 min read


Presentazione del Caso
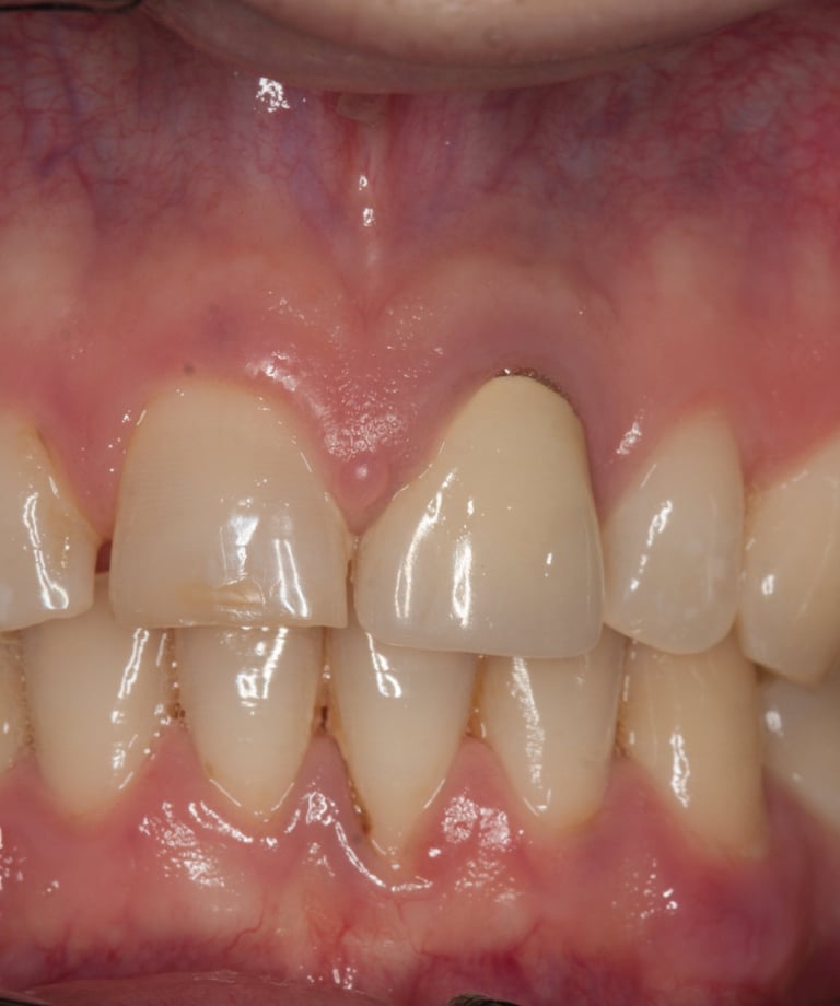
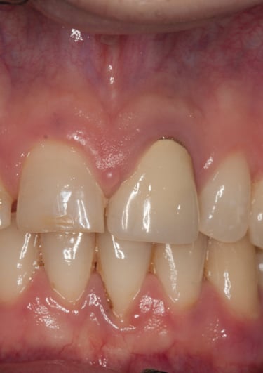
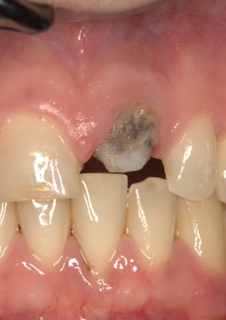
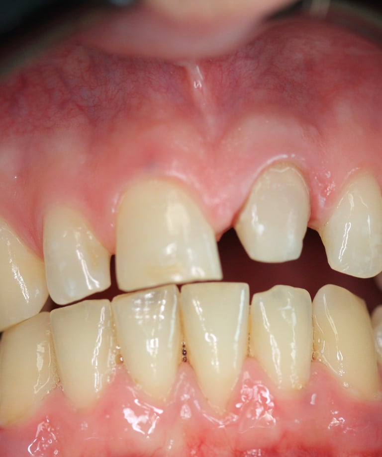
Un paziente si è presentato alla nostra attenzione con un problema di decementazione ripetuta della corona su un incisivo centrale superiore (dente 21). Oltre all'evidente instabilità protesica, la corona mostrava una discrepanza estetica marcata rispetto ai denti naturali adiacenti, compromettendo l'armonia del sorriso.
Dopo un'approfondita analisi clinica e radiografica, sono stati individuati i seguenti problemi:
Corona incongrua: non solo non si armonizzava con i denti circostanti, ma risultava anche inadeguata dal punto di vista funzionale.
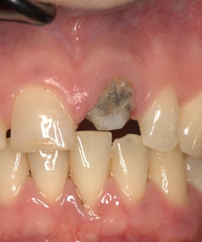
Trattamento endodontico inadeguato: il precedente trattamento canalare era insufficiente, lasciando il dente vulnerabile a infezioni e compromettendone la prognosi a lungo termine.
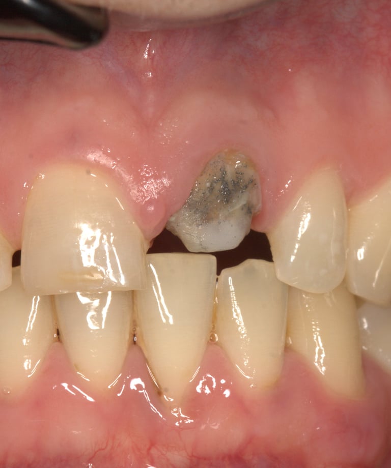
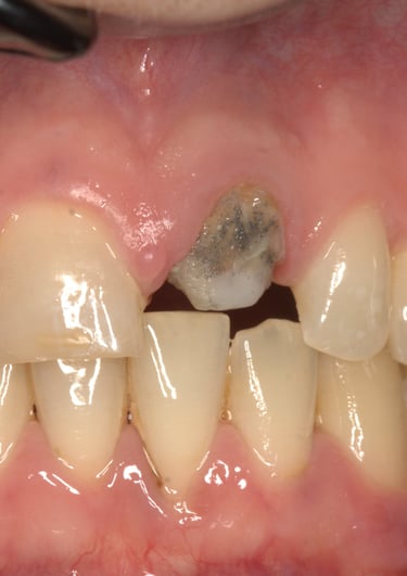
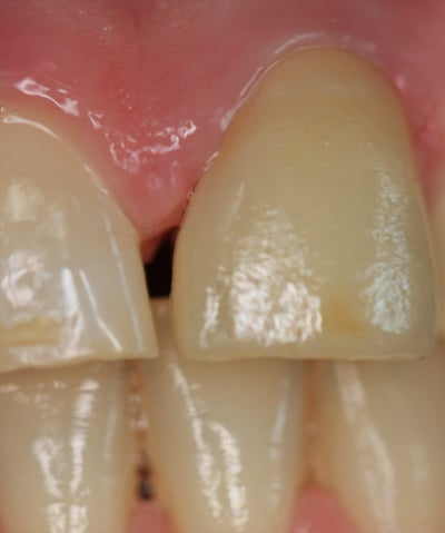
Perno moncone inadeguato: la mancanza di stabilità del perno esistente causava la continua decementazione della corona, rendendo necessario un intervento risolutivo.


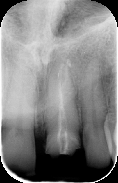
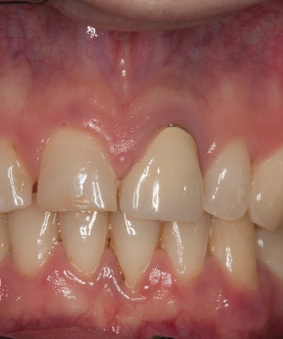
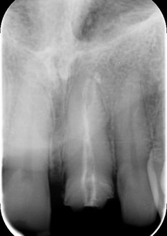
Corona Incongrua
Condizioni Iniziali




Moncone non ritentivo
Trattamento Canalare Incongruo
Fasi del Trattamento
1. Ritrattamento Endodontico
Il primo step è stato il ritrattamento endodontico, essenziale per garantire la salute a lungo termine del dente. Dopo la rimozione della vecchia otturazione canalare, è stata effettuata una detersione accurata con irriganti specifici e successiva otturazione tridimensionale per prevenire recidive infettive.
2. Sostituzione del Perno Moncone
Il perno moncone preesistente è stato rimosso e sostituito con un perno in fibra di vetro. Questo materiale offre vantaggi significativi:
Elasticità simile alla dentina naturale, riducendo il rischio di fratture radicolari.
Elevata adesione ai materiali compositi, garantendo una maggiore stabilità della ricostruzione.
Radiotrasparenza, permettendo un migliore controllo radiografico nel tempo.
3. Preparazione del Moncone e Impronte
Una volta completato il trattamento endodontico e posizionato il nuovo perno, il moncone è stato preparato con una forma ottimale per la ritenzione della nuova corona. Successivamente, sono state prese impronte digitali per la realizzazione della protesi definitiva.
4. Prova Estetica e Cementazione della Corona Definitiva
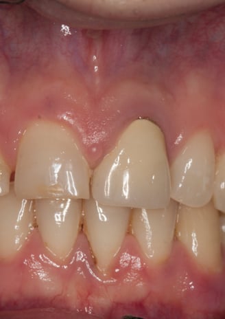
La corona definitiva in disilicato di litio è stata progettata per mimetizzarsi perfettamente con i denti naturali in termini di colore, traslucenza e forma. Dopo una prova estetica accurata, la corona è stata cementata utilizzando un cemento adesivo di ultima generazione, garantendo un'adesione duratura e stabile
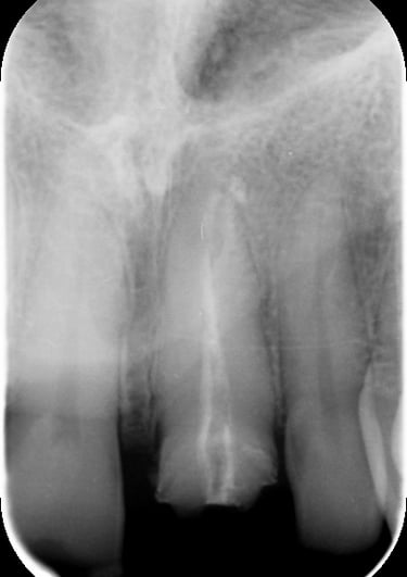
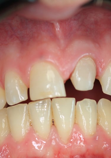
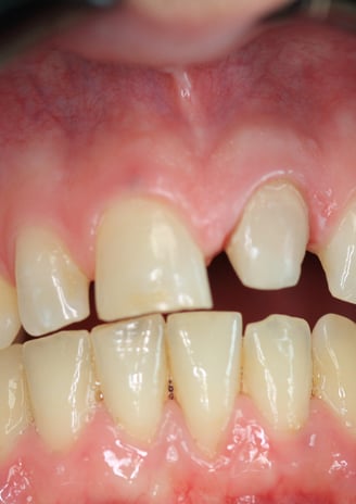
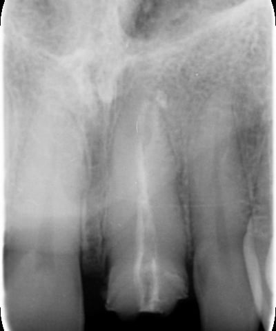
Corona Estetica
Condizioni Finali


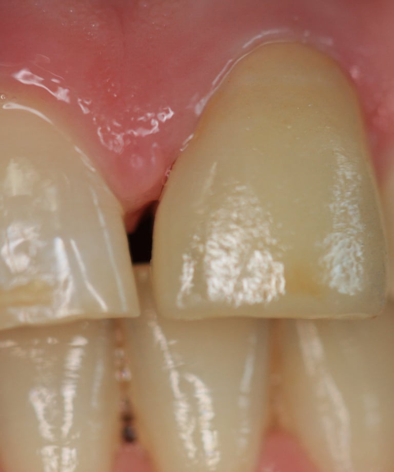
Moncone ritentivo
Trattamento Canalare Congruo
Risultato
Conclusione
La sostituzione della corona su un incisivo centrale richiede un approccio multidisciplinare che coniughi precisione clinica ed eccellenza estetica. In questo caso, il ritrattamento endodontico, la sostituzione del perno moncone e la realizzazione di una nuova corona in disilicato di litio hanno permesso di ottenere un risultato ottimale sia dal punto di vista funzionale che estetico.
Grazie all'impiego di materiali avanzati e tecniche minimamente invasive, è stato possibile garantire al paziente una riabilitazione duratura, ripristinando la stabilità protesica e l’armonia del sorriso. Questo caso conferma l'importanza di una diagnosi accurata e di un piano di trattamento personalizzato per risolvere definitivamente le problematiche legate alle corone incongrue.
Il successo del trattamento non si misura solo nella qualità della protesi finale, ma anche nella soddisfazione del paziente, che può ora sorridere con sicurezza e senza preoccupazioni.
Testimonianza del Paziente
"Dopo anni di problemi con la mia corona sull’incisivo centrale, che continuava a staccarsi e non era mai esteticamente soddisfacente, ho deciso di affidarmi a questo studio. Fin dal primo incontro, ho percepito un livello di professionalità e attenzione ai dettagli che non avevo mai trovato altrove. Il trattamento endodontico è stato eseguito con precisione, il nuovo perno in fibra di vetro ha dato finalmente stabilità al dente e la nuova corona è perfettamente integrata con i miei denti naturali. Ora posso sorridere senza preoccupazioni! Grazie per avermi restituito fiducia nel mio sorriso."
— Cristiano

★★★★★
Studio Dentistico
dott. Pierluca Vivaldini
via Brescia 28
25020 GAMBARA - Brescia -
Contatti
030 99 56 178
info@vivaldini.it
