Presentazione del caso
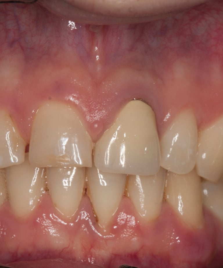
Il paziente si è presentato con una corona decementata ripetutamente sul dente 21, con un'evidente discrepanza estetica rispetto ai denti naturali adiacenti. L’elemento non si armonizzava con i tessuti circostanti e presentava problemi sia funzionali che estetici. Dopo una valutazione clinica approfondita, sono emersi i seguenti problemi:
Corona incongrua: Esteticamente non soddisfacente e incapace di mimetizzarsi con i denti naturali vicini.
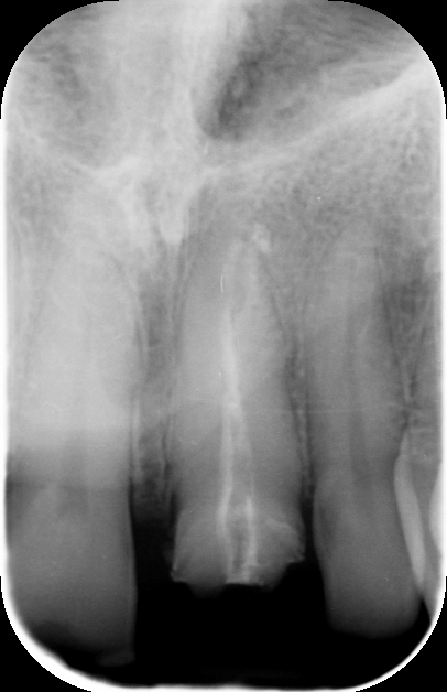
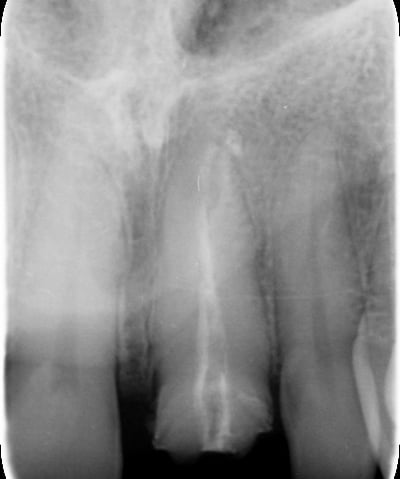
Trattamento endodontico inadeguato: Il trattamento canalare precedente non era stato eseguito correttamente, rendendo il dente suscettibile a ulteriori complicazioni.
Perno moncone inefficace: Il perno moncone esistente non garantiva la stabilità necessaria, contribuendo alla continua decementazione della corona.
Diagnosi e piano di trattamento
Dopo un'attenta analisi radiografica e clinica, è stato deciso di procedere con un piano di trattamento mirato a risolvere sia i problemi estetici che funzionali:
Ritrattamento endodontico: È stato eseguito un nuovo trattamento canalare per assicurare la corretta sigillatura del sistema radicolare, eliminando eventuali infezioni residue e garantendo la longevità del dente.
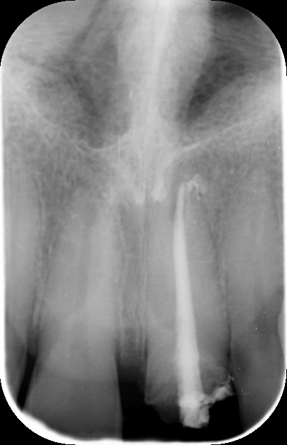
Nuovo perno moncone: Il perno moncone esistente è stato rimosso e sostituito con uno nuovo, realizzato in fibra di vetro, un materiale che offre una maggiore adesione e resistenza nel tempo, oltre a migliorare l'integrazione con la struttura dentale residua.
Realizzazione di una nuova corona estetica: La nuova corona è stata progettata per integrarsi perfettamente con i tessuti gengivali e i denti adiacenti, rispettando il colore, la forma e la traslucenza naturale dei denti vicini. Il materiale scelto è stato il disilicato di litio, noto per la sua eccellente resa estetica e resistenza.
Fasi del trattamento
1. Ritrattamento endodontico:
Il primo passo è stato rimuovere la vecchia otturazione canalare e ritrattare i canali radicolari, assicurando una pulizia accurata e la successiva otturazione tridimensionale per prevenire future complicanze.
2. Sostituzione del perno moncone:
Una volta completato il trattamento canalare, è stato posizionato un nuovo perno in fibra di vetro. Questo materiale è stato scelto per la sua elasticità simile a quella della dentina, che riduce il rischio di fratture radicolari rispetto ai perni metallici tradizionali. Inoltre, la fibra di vetro è radiotrasparente, permettendo un migliore monitoraggio radiografico.
3. Preparazione del moncone e impronte:
Il moncone è stato preparato con una forma ideale per la ritenzione della nuova corona, e sono state prese le impronte digitali per la realizzazione della corona definitiva.
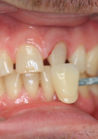
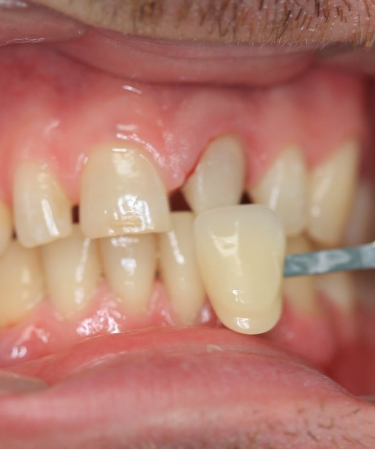
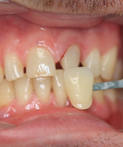
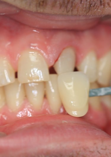
4. Prova estetica e inserimento della corona definitiva:
La nuova corona è stata prima provata per valutarne il colore, la forma e la precisione. Dopo aver ottenuto l'approvazione estetica, la corona è stata cementata utilizzando un cemento adesivo di ultima generazione, garantendo stabilità e una perfetta integrazione con i tessuti.
Risultati
Al termine del trattamento, il paziente ha ottenuto una corona che si mimetizza perfettamente con i denti adiacenti. Non solo l'aspetto estetico è notevolmente migliorato, ma anche la stabilità della corona è stata risolta, eliminando il problema della decementazione continua. Il nuovo trattamento endodontico ha assicurato la salute a lungo termine del dente.
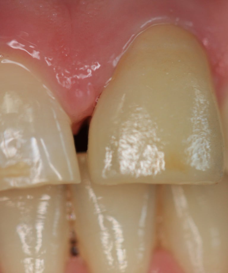
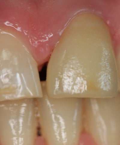
Prima:
Corona visibilmente discromica rispetto ai denti naturali.
Decementazione frequente della corona.
Perno moncone non funzionale e trattamento endodontico insufficiente.
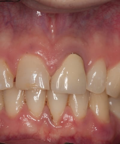
Dopo:
Corona completamente integrata con i denti vicini, senza differenze di colore o forma.
Stabile grazie al nuovo perno moncone in fibra di vetro.
Trattamento endodontico corretto e completato con successo.
Conclusioni
La sostituzione di una corona incongrua in zona estetica richiede un approccio multidisciplinare, che consideri sia gli aspetti funzionali che quelli estetici. In questo caso, il ritrattamento endodontico, la sostituzione del perno moncone e l'uso di materiali altamente estetici hanno garantito un risultato ottimale, restituendo al paziente un sorriso armonioso e stabile.
Questo caso dimostra quanto sia importante affrontare i problemi alla radice (in tutti i sensi!) e non limitarsi a soluzioni superficiali. La chiave del successo è una diagnosi accurata e l’utilizzo di tecniche e materiali di alta qualità.








