Faccette Dentali in Porcellana
Trasformazione del Sorriso e Miglioramento della Qualità della Vita a cura del Dott. Pierluca Vivaldini
Le faccette dentali in porcellana rappresentano una soluzione avanzata e altamente estetica per migliorare l'aspetto dei denti danneggiati, discromici o malformati. Questi sottili strati di ceramica vengono applicati sulla superficie frontale dei denti, offrendo risultati straordinari in termini di estetica e funzionalità. Attraverso una serie di casi clinici, illustreremo come le faccette dentali possono trasformare il sorriso e, di conseguenza, migliorare significativamente la qualità della vita dei pazienti.
Introduzione
Il Potere delle Faccette Dentali: Un Caso Clinico di Successo
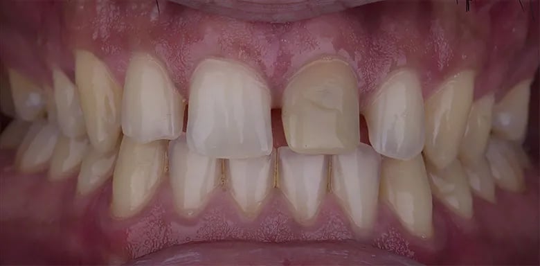
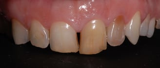
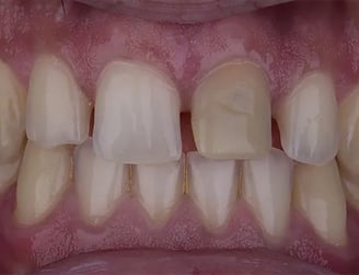
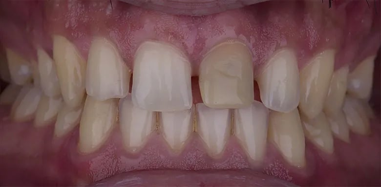
Analisi Iniziale del Caso
Dopo un'attenta valutazione, abbiamo delineato un piano di trattamento personalizzato, mirato a ristabilire l'armonia e la funzionalità del sorriso. La fase iniziale ha comportato una preparazione accurata del gruppo incisivo, con l'obiettivo di creare una base ottimale per l'applicazione delle faccette.


Preparazione e Pianificazione del Trattamento
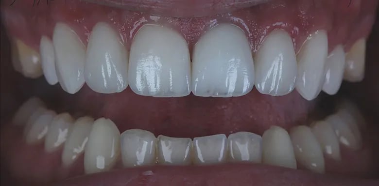
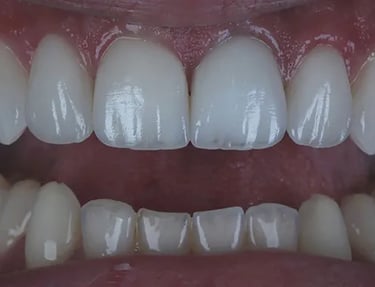
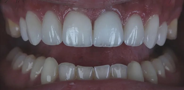
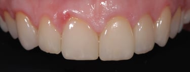
Applicazione delle Faccette Dentali
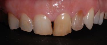
Le faccette in porcellana sono state realizzate su misura, tenendo conto della forma naturale dei denti e delle esigenze estetiche della paziente. L'applicazione è stata eseguita con precisione, garantendo un'adesione perfetta e duratura.
Le faccette in porcellana sono state realizzate su misura, tenendo conto della forma naturale dei denti e delle esigenze estetiche della paziente. L'applicazione è stata eseguita con precisione, garantendo un'adesione perfetta e duratura.


Applicazione delle Faccette Dentali
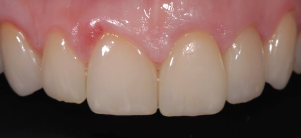
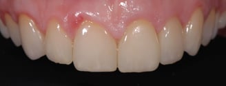
Risultati e Benefici
I denti del paziente sono diventati uniformi, di un bianco naturale e brillante. Le faccette hanno restituito una simmetria ideale al sorriso, eliminando qualsiasi traccia delle precedenti imperfezioni.
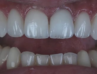
Un Altro Caso di trasformazione del sorriso
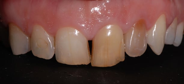
Un secondo paziente si è rivolto al nostro studio con una situazione simile, dove la presenza di denti discromici e malformati creava un disagio significativo. L'obiettivo era non solo migliorare l'estetica del sorriso, ma anche favorire un miglioramento del benessere emotivo del paziente.
Questi lavori in porcellana felspatica sono stati eseguiti dal Dott. Pierluca Vivaldini in collaborazione esterna con il Laboratorio Odontotecnico di Gualtiero Albertini


