Trasformazione Estetica di un Sorriso
Il nuovo sorriso di Miriam: una combinazione tra terapia ortodontica e Faccette Dentali a cura del Dott. Pierluca Vivaldini


Le faccette dentali stanno rivoluzionando l'odontoiatria estetica, come dimostra la storia di uno dei nostri pazienti. Nel nostro blog, condividiamo la sua esperienza, mostrando come le faccette possano trasformare non solo l'estetica del sorriso, ma anche la fiducia in sé stessi.
La storia di Miriam
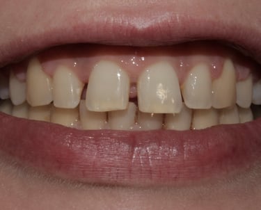
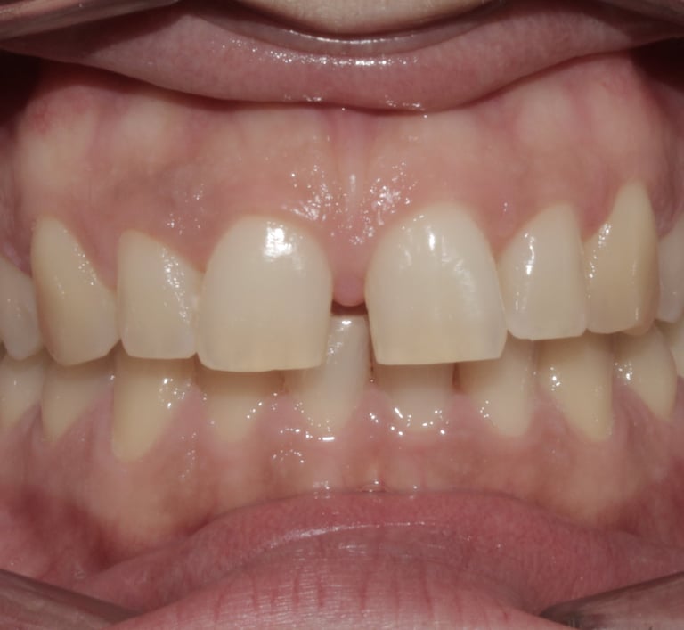
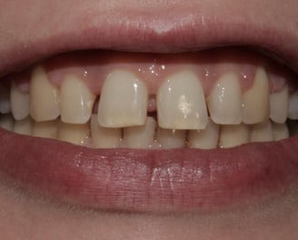
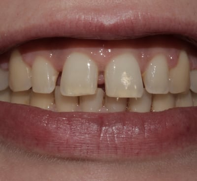
Miriam, una giovane donna di 25 anni, aveva un desiderio chiaro: sentirsi a proprio agio con il suo sorriso. I suoi denti erano diastemati (con spazi tra di loro), grigi e di forma piccola, caratteristiche che influivano negativamente sul suo desiderio di sorridere liberamente.
La procedura
Analisi iniziale
Problemi Estetici Riscontrati - Durante la prima visita, abbiamo eseguito una valutazione completa del sorriso di Miriam. I suoi denti presentavano evidenti diastemi (spazi tra i denti), una colorazione grigia e una forma non armoniosa con il resto del viso. Questi aspetti estetici influivano negativamente sul suo desiderio di sorridere liberamente.
Discussione delle Aspettative
Abbiamo condotto un colloquio approfondito con Miriam riguardo alle sue aspettative e ai possibili trattamenti. Le sue principali preoccupazioni erano focalizzate sul desiderio di avere denti bianchi, uniformi e perfettamente allineati. Dopo aver esaminato diverse opzioni, abbiamo deciso di procedere con l'applicazione di faccette in porcellana feldspatica, un metodo innovativo e conservativo che rispetta l'integrità dei denti natura
L’Approccio Personalizzato
Diagnostica Avanzata - Per garantire un risultato ottimale, abbiamo utilizzato tecniche diagnostiche avanzate, tra cui immagini digitali ad alta risoluzione, per pianificare il trattamento. Questo approccio ci ha permesso di creare un modello preciso del sorriso desiderato da Miriam.
Trattamento Ortodontico Fisso
In aggiunta, Miriam è stata sottoposta a un trattamento ortodontico fisso preliminare, per correggere l'allineamento dei denti e preparare il terreno per l'applicazione delle faccette. Questo passaggio è stato fondamentale per garantire la stabilità e la durata del risultato finale.
Una trasformazione che ispira
Prima
Preparazione e Applicazione delle Faccette
Il primo passo è stato preparare i denti di Miriam per l’applicazione delle faccette. Abbiamo rimosso una piccola quantità di smalto dalla superficie dei denti per fare spazio alle faccette in porcellana feldspatica. Successivamente, abbiamo preso delle impronte di precisione dei denti di Miriam, che sono state inviate al laboratorio odontotecnico per la realizzazione delle faccette personalizzate.
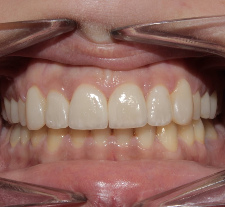
Una volta pronte, le faccette sono state applicate con cura ai denti di Miriam utilizzando un cemento dentale speciale. Ogni faccetta è stata posizionata e adattata per garantire un aspetto naturale e armonioso.


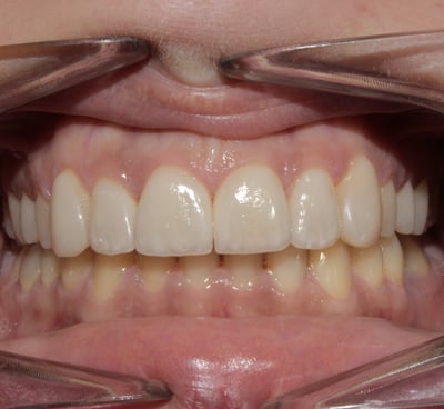
Dopo
Risultati e Conclusioni
Il risultato finale è stato straordinario. I denti di Miriam sono diventati bianchi, uniformi e perfettamente allineati. La trasformazione del suo sorriso ha avuto un impatto significativo sulla sua autostima e sulla sua qualità di vita. Miriam ora sorride con fiducia e ha ricevuto numerosi complimenti per il suo nuovo sorriso. La sua esperienza testimonia l’efficacia delle faccette dentali in porcellana feldspatica nel migliorare l'estetica dentale e, di conseguenza, il benessere personale.
Siamo orgogliosi di condividere questo caso di successo e di continuare a offrire trattamenti estetici dentali di alta qualità.
Questo lavoro è sato eseguito in collaborazione esterna con il Laboratorio Odontotecnico di Gualtiero Albertini








"Non avrei mai immaginato quanto un sorriso potesse trasformare la mia vita. Prima di applicare le faccette dentali, ero sempre un po' insicura, cercavo di nascondere i miei denti nelle foto e nei momenti di socialità. Ma ora, è tutto cambiato. Ogni volta che mi guardo allo specchio, vedo una versione di me che non sapevo di poter essere: sicura, serena e pronta a sorridere senza timori.
Il processo è stato più semplice di quanto pensassi, e il risultato... wow, è incredibile! Ora posso finalmente ridere a pieni denti, sapendo che il mio sorriso riflette davvero chi sono dentro. Le faccette hanno fatto la differenza non solo nel mio aspetto, ma anche nella mia sicurezza e felicità quotidiana. È come se avessi riscoperto il potere di un sorriso, e non potrei essere più grata per questa trasformazione."
Il tuo dentista a Gottolengo, Dentista a Ostiano, Dentista a Pessina Cremonese. Ritrova il sorriso che meriti con l'odontoiatria estetica e l'implantologia d'eccellenza!
